太平洋新聞網
  PACIFIC DAILY NEWS 2026, 3. 25 AM 02:31 Wednesday  臺灣‧台北
首頁新聞版面焦點新聞北台新聞綜合新聞府院新聞綜合外電
 
您現在位於 - 綜合外電


俄外交部聲明俄美解除武器約束
◆ 記者林璟坤/外電報導        2026, 2. 5
當地時間4日晚,俄羅斯外交部發布聲明稱,俄總統普京建議俄美雙方在《新削減戰略武器條約》到期後至少一年內,自願遵守條約中規定的相應武器數量的上限,但是俄方迄今為止沒有 …

聯合國重提23年前美式謊言霸權
◆ 記者林璟坤/外電報導        2026, 2. 5
2月5日上午,聯合國官方視頻號發布了一段名為《歷史上的今天:2003年2月5日鮑威爾和白色粉沫》的視頻。

這段約40秒的視頻簡短回顧了,2003 …

習近平希望川普慎重處理對台軍售問題
◆ 記者李清華/外電報導        2026, 2. 5
2月4日晚,中國國家主席習近平與美國總統川普通電話。

習近平指出,過去一年,我們保持著良好溝通,在釜山成功會晤,為中美關係領航把舵,受到兩國人民 …

習近平與普京舉行視訊會晤
◆ 記者李清華/外電報導        2026, 2. 5
2月4日下午,中國國家主席習近平在北京與俄羅斯總統普京舉行視訊會晤。

習近平指出,過去一年我們兩度會晤,引領中俄關係步入新的發展階段,習近平強調 …

烏拉圭總統到訪北京外國語大學
◆ 記者李清華/外電報導        2026, 2. 5
烏拉圭東岸共和國總統奧爾西2月1日開始對中國進行為期七天的國事訪問,2月4日,奧爾西總統率代表團到訪北京外國語大學,參觀校園內一棵由烏拉圭前總統穆希卡13年前種下的 …

川普對CNN女記者言語攻擊
◆ 記者林璟坤/外電報導        2026, 2. 5
當地時間2月3日,美國總統川普回應記者針對愛潑斯坦案的相關提問時,稱自己清白無罪,並且攻擊了向他提問的CNN記者。

在回答美國有線電視新聞網(C …

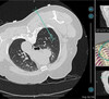
全球約十分之四癌症病例可預防
◆ 記者林孟論/外電報導        2026, 2. 5
世界衛生組織(WHO)官網3日發布消息稱,世衛組織及其下屬的國際癌症研究機構(IARC)最新研究顯示,全球約十分之四的癌症病例可以預防。

消息稱 …

英國發布新一代核反應堆開發框架
◆ 記者林孟論/外電報導        2026, 2. 5
英國政府4日公布新一代核反應堆開發框架,旨在加速先進核技術研發與落地,推動英國成為該領域“全球領導者”,同時為氣候目標達成、人工智能產業發展及就業創造提供重要支撐。 …

魯比奧:俄美烏會談有進展
◆ 記者林孟論/外電報導        2026, 2. 5
由俄羅斯、美國、烏克蘭三國代表組成的安全問題工作組4日在阿聯酋首都阿布紮比舉行新一輪會談,美國國務卿魯比奧表示,會談已取得一定進展,但最棘手問題仍未解決。
< …

昆侖天工發布“Skywork桌面版”
◆ 記者李清華/外電報導        2026, 2. 4
2月4日,昆侖萬維旗下昆侖天工面向全球正式發布「天工Skywork桌面版」,即桌面端應用SkyworkDesktop。

據介紹,「天工Skywo …

第一頁上一頁下一頁最後一頁   頁次:27/66




 
社址:台北市內湖區瑞光路八號六樓之一  總機:(02)87911588(代表號)
太平洋新聞網版權所有 © 2002 pacificnews.com.tw All Rights Reserved.

伺服器架設與程式設計